Ugly Duckling Stage Clipart
Download and use it for your personal or non commercial projects.
Ugly duckling stage clipart. 3738 duckling clip art images on gograph. Go all the way over until you get to the textured part. 33 ugly duckling clip art images on gograph.
The ugly duckling fairy tale clip art set over 40 graphicsyou will receive 43 clipart graphics that were hand drawn by myself 1 duckling crying 1 duckling smiling 2 ducks hatching from eggs 1 duckling laughing 1 angry duckling 1 curious duckling 1 sad duckling 2 ducks standing 2 ducks waving 1 adult duck waving 1 frog jumping 1 frog sitting on lilypad 1 lilypad mama duck swimming with babies on back mama duck waving 1 nest with eggs 1 pond with cattails 1 rock 1 swan stan. Thousands of new high quality pictures added every day. 90 180 360 go.
Start with a white paper plate scissors glue one googly eye and a small piece of orange paper. Watch whats new in 2019. Then you will follow the line around until you get back to.
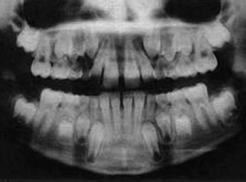
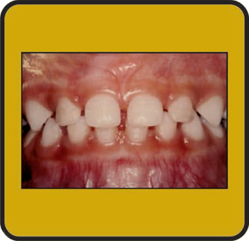
Find ugly duckling stock images in hd and millions of other royalty free stock photos illustrations and vectors in the shutterstock collection. Ugly duckling stage quick reference a stage of dental development usually between the ages of 7 and 12 years preceding the eruption of the permanent canines when the upper central and lateral incisors are tipped laterally due to the crowding created by the unerupted canines to produce a midline space median diastema. Ugly duckling download free clip art with a transparent background on men cliparts 2020.
55 ugly duckling image clipart. Ugly duckling stage is a transient form o. This video was uploaded from an android phone.
Start by cutting from the edge of the middle part of the plate. Download high quality duckling clip art from our collection of 41940205 clip art graphics. Svg ai eps show.
Cygnini Headgear Ugly Duckling Black Hair Vertebrate Human Cartoon Fictional Character Png Nextpng
www.nextpng.com
Https Encrypted Tbn0 Gstatic Com Images Q Tbn 3aand9gcqd2ustobb1cmz 8vvi1p Kh9llyydq8lttmbgixqkysz9ybfoq Usqp Cau
encrypted-tbn0.gstatic.com












































































.jpg)